
Stanford University In a Stanford Medicine-led clinical trial of a wireless retinal prosthesis, people with advanced macular degeneration regained enough vision to read books and subway signs. The 2-by-2-millimeter chip that receives images is implanted in the part of the…
Read More
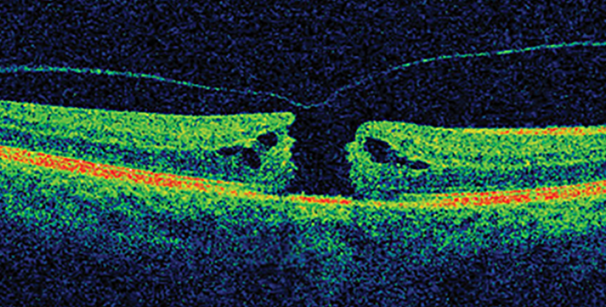
Dimitra Skondra MD PhD University of Chicago We have a big study regarding macular hole repair. A macular hole is a very common disorder affecting older patients that may already have macular degeneration. Surgery would be needed to repair the…
Read More
Press ReleaseWALTHAM, Mass., March 16, 2022 (GLOBE NEWSWIRE) — Apellis Pharmaceuticals, Inc. (Nasdaq: APLS), a global biopharmaceutical company and leader in complement, today announced longer-term data from the Phase 3 DERBY and OAKS studies, which showed that intravitreal pegcetacoplan, an…
Read More
In recent years at least two studies demonstrated the benefits of flavonoid-rich dark chocolate over milk chocolate as to improved vision. That was good news for chocolate lovers. In a new double-blind randomized clinical trial (Department of Ophthalmology Ludwig-Maximilians-University, Munich,…
Read More
By Dan Roberts – MDSupport.org “Tom”, a 73-year-old male, complained of severe dry eye syn- drome and loss of acuity after one injection of an anti-VEGF drug for treatment of wet macular degeneration. Tom had previously undergone four months of…
Read More
The intraocular inflammation that may occur after intravitreal therapy with brolucizumab (Beovu) can also be accompanied by retinal vasculitis severe enough to cause profound loss of vision, researchers have found. Source: American Academy of Ophthalmology (AAO). Linda Roach: EyeNet Magazine…
Read More
The Macular Degeneration Foundation published a Special Edition of its Newsletter in July of 2019. It detailed ten common misconceptions regarding macular degeneration. One was the idea that cell phones, televisions and computer screens damage the eyes with “blue light”….
Read More
Statistics have shown that only 1 out of 5 smokers actually are aware of the risk smoking has on their eye health. The following information may convince folks that breaking the habit is imperative to insure a long and healthy…
Read More
Source: Mark Humayun, MD, PhD, director of the USC Dr. Allen and Charlotte Ginsburg Institute for Biomedical Therapeutics, codirector of the USC Roski Eye Institute and University Professor of Ophthalmology at the Keck School of Medicine. In a new study…
Read More
by Dan RobertsMD Foundation Resource Director888-866-6148 Age-related macular degeneration (AMD) is a progressive disease of the retina wherein the light-sensing cells in the central area of vision (the macula) stop working and eventually die. The disease is thought to be…
Read More
Recent press releases regarding the potential adverse effects of aspirin on macular degeneration have caused patients with Age-related Macular Degeneration (AMD) to discontinue their aspirin use without consulting their physician. This study weighed the benefits that aspirin provides for patients’…
Read More